© Sirinporn - stock.adobe.com

Spontane, traumatische und iatrogene Dissektionen

Zervikale vaskuläre Pathologien: Diagnostik und Management

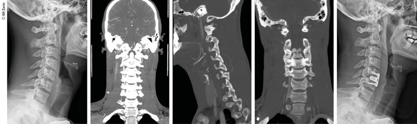
Vaskuläre Pathologien der Halswirbelsäule, insbesondere Dissektionen der A. carotis oder der A. vertebralis, sind potenziell lebensbedrohliche Zustände. Sie treten häufig infolge von stumpfen oder penetrierenden Traumata auf und sind klinisch oft schwer zu erkennen. Die frühzeitige multimodale Diagnostik und das adäquate interdisziplinäre Management sind von essenzieller Bedeutung für eine erfolgreiche Behandlung.

In der vorderen Halsregion liegt die A. carotis communis, diedem Aortenbogen (links) bzw. dem Truncus brachiocephalicus (rechts) entspringt. Sie teilt sich typischerweise auf Höhe des dritten bis vierten Halswirbels in die zwei wichtigsten Endäste für die Versorgung von Kopf und Hals. Bei dieser Gabelung befindet sich der Bulbus caroticus als Teil des sinuaortalen Systems. Etwas 2–3cm distal des Bulbus befindet sich die typische extrakranielle Lokalisation für Dissektionen. Die A. vertebralis entspringt in 90% der Fälle der Hinterwand der A. subclavia. Der Gefäßverlauf wird vom Ursprung der Arterie bis zur hinteren Schädelgrube unter anatomischen und klinischen Gesichtspunkten in vier Abschnitte unterteilt:

Sie sind bereits registriert?
Loggen Sie sich mit Ihrem Universimed-Benutzerkonto ein:

Login

Sie sind noch nicht registriert?
Registrieren Sie sich jetzt kostenlos auf universimed.com und erhalten Sie Zugang zu allen Artikeln, bewerten Sie Inhalte und speichern Sie interessante Beiträge in Ihrem persönlichen Bereich zum späteren Lesen. Ihre Registrierung ist für alle Unversimed-Portale gültig. (inkl. allgemeineplus.at & med-Diplom.at)

Registrieren

Back to top